Skip Menu
Continue
  • 13592 River Road,
  • Suite #1,
  • Destrehan, LA 70047
  • Home
  • About Us
    • Our Office
    • Office Tour
    • Meet Our Team
    • Smile Gallery
    • Dental Videos
    • Reviews
  • Meet Dr. Patella
    • Joshua C. Patella, DDS
  • New Patients
  • Patella Care Plan
  • Services
      • CAD/CAM Single Visit Crowns
      • ClearCorrect®
      • Crowns & Caps
      • Dental Bridges
      • Dental Fillings
      • Dentures
      • Extractions
      • Family Dental Care
      • Implant Dentistry
      • KOR Whitening
      • Night Guards
      • Oral Cancer Screening
      • Oral Exams
      • Periodontal Treatment
      • Preventive Program
      • Root Canals
      • Veneers
    • View All
  • Dental Health
  • Contact
    • Contact Us
    • Request Appointment

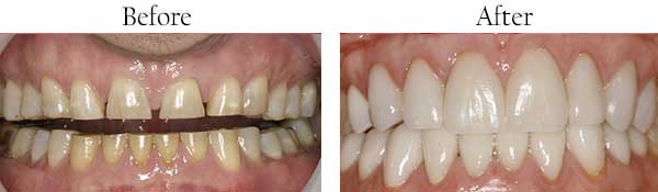
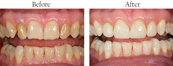
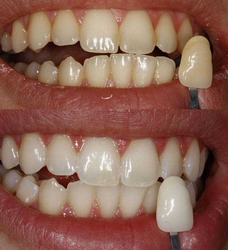
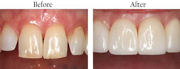
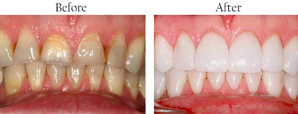
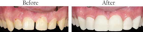
Smile Gallery

 

Additional Information

Our Location

13592 River Road
Suite #1
Destrehan, LA 70047
(985) 746-4964

Follow Us